更新時間:2024-04-17
點擊次數:1342
溶酶體標志物
◆◇◆
細胞器標志物是指某些細胞器上特異性表達的蛋白質或其他標記物,細胞器標志物抗體是細胞生物學中常用的研究工具。靶向特定的抗體有助于了解蛋白的亞細胞定位以及探究其生物功能,也可以在細胞器分離提取物的蛋白質印跡分析中用作陽性對照。
溶酶體(Lysosome)是分解蛋白質、核酸、多糖等生物大分子的細胞器,為單層膜包被的囊狀結構,具有異質性,其形態大小及內含的水解酶種類都可能有很大的不同。溶酶體在細胞中的功能是分解從外界進入到細胞內的物質,也可消化細胞自身的局部細胞質或細胞器,當細胞衰老時,溶酶體破裂,釋放出水解酶,消化整個細胞而使其死亡。根據完成其生理功能的不同階段可分為初級溶酶體(Primary lysosome),次級溶酶體(Secondary lysosome)和殘體(Residual body)。

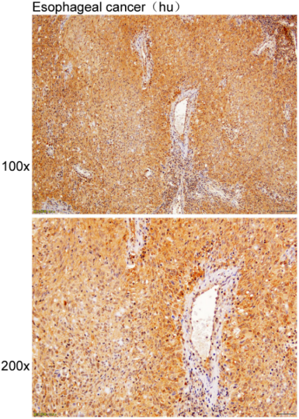
溶酶體相關膜蛋白1(LAMP1)是一種90-120 kDa的高度糖基化膜蛋白,富集于溶酶體膜中,在溶酶體生物發生、溶酶體pH調節、自噬和膽固醇穩態中起重要作用。該蛋白質被證明是淋巴細胞(如CD8+和NK細胞)脫顆粒的標志,也可能在腫瘤細胞分化和轉移中起作用。

圖1 LAMP1抗體免疫組化結果示意圖
(貨號:K106533P)

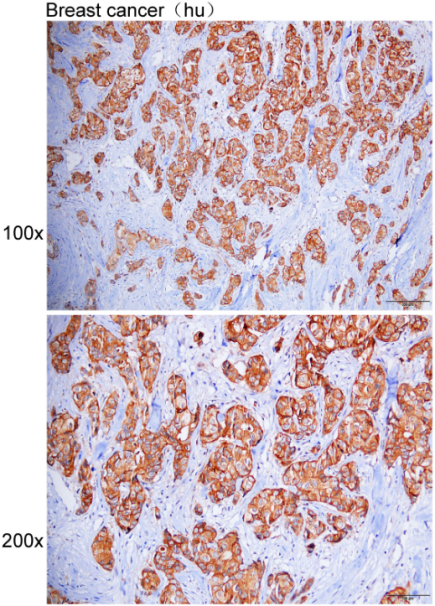
溶酶體相關膜蛋白2(LAMP2)是膜糖蛋白家族的一員,作為溶酶體腔內調控pH的重要調節劑,能夠促進溶酶體酸化獲得最佳水解酶活性。除此之外,LAMP2也在分子伴侶介導的自噬中起重要作用,不僅能夠調節溶酶體對各種應激反應的蛋白質降解,還可以在溶酶體的保護、維持和粘附中發揮作用。

圖2 LAMP2抗體免疫組化結果示意圖
(貨號:K106721P)
已有一些蛋白被鑒定可用作溶酶體標志物(見表1)。

表1溶酶體
標志物


相關產品
產品貨號 | 產品名稱 |
K003436P | Anti-LAMP1 Polyclonal Antibody |
K108730P | Anti-LAMP1 Polyclonal Antibody |
K107266P | Anti-IGF2R Polyclonal Antibody |
K007738P | Anti-IGF2R Polyclonal Antibody |
K003103P | Anti-LAMP2 Polyclonal Antibody |
K200040M | Anti-MAP1LC3A Monoclonal Antibody |
K009933P | Anti-ATG12 Polyclonal Antibody |