更新時間:2024-02-19
點擊次數:924
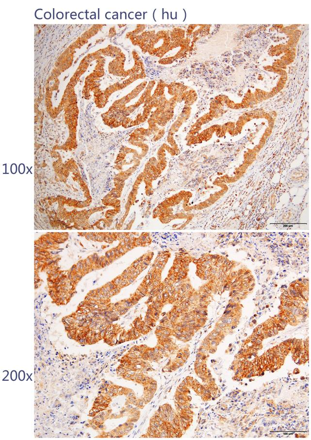
脂肪酸是細胞的基本組分和能源,主要通過脂肪酸β-氧化(FAO)進行分解代謝。長鏈脂肪酸需要先轉化為長鏈脂肪?;鈮A酯,才能穿過線粒體膜進入線粒體中進行β-氧化。堿棕櫚酰轉移酶1A(CPT1A)是FAO的關鍵調節酶和限速酶之一,可將脂肪?;b載到肉堿上,實現將長鏈脂肪酸轉移到線粒體中,在肝臟甘油三酯代謝中起重要作用。小編本期推薦的明星抗體K109122P,可是偵察CPT1A蛋白的得力干將,讓我們一起來認識下吧!


明星抗體三維數據卡
名稱 | Anti-CPT1A Polyclonal Antibody |
編號 | K109122P |
交叉 反應 | Human Mouse Rat |
應用 | WB IHC IF IP |
推薦稀釋 比例 | WB 1:1000-3000 IHC 1:100-300 IF 1:50-200 IP 1:200 |
上下滑動閱讀更多內容
上下滑動閱讀更多內容
上下滑動閱讀更多內容
上下滑動閱讀更多內容
上下滑動閱讀更多內容
第十八期產品星推薦就到這里啦!想要了解更多產品信息,請聯系索萊寶客服

相關產品
產品貨號 | 產品名稱 |
K000391P | Anti-CPT1A Polyclonal Antibody |
K006714P | Anti-CPT1A Polyclonal Antibody |
P03855 | Recombinant Human CPT1A Protein |
VT002180 | pENTR223-CPT1A |
VT028184 | pCMV-CPT1A(Human)- 3×FLAG-SV40-Neo |
SP034 | Rabbit IgG |
SE134 | 羊抗兔IgG-HRP |
SR134 | 羊抗兔IgG-RBITC |
C0060 | DAPI溶液(1mg/ml) |
DA1015 | 增強型DAB顯色試劑盒(20×) |
PE0010 | ECL Plus超敏發光液 |
P1200 | SDS-PAGE凝膠制備試劑盒 |
SP0041 | 通用SP檢測試劑盒 |