更新時間:2023-08-11
點擊次數:985

一、服務內容
組織蠟塊制備、切片、染色、結果掃描
二、服務項目

三、樣品要求
1
可以是常溫在固定液中或低溫保存狀態下的未包埋的組織樣品,或者提供沒有問題的蠟塊
2
最小接單量為10個樣本,不足10個樣本按照10個樣本收費,在我司進行包埋、切片、染色等一系列步驟的客戶,將免費提供單層全景掃描
四、注意事項
01
關于組織固定
1、取材方法:器械要足夠鋒利,選擇薄的刀片,鑷子夾取樣本時要格外小心,避免擠壓在標本上留下痕跡;
2、取材速度:組織中的抗原在離體后會很容易喪失活性,所以需要迅速將取到的樣本放入相應的固定液內,如果一只動物取多種器官,優先固定消化器官;
3、組織塊大小:標本組織體積1 cm x 1 cm x 0.5 cm,不得超過3 cm x 2 cm x 0.5 cm;
4、固定液的選擇:一般情況下,可使用4%組織細胞固定液(貨號:P1110);
5、固定液量:固定液的體積要在樣本的10-20倍之間,固定不充分會造成細胞自溶;
6、固定溫度:常溫即可,無需冷藏,更不需要冷凍!冷凍會造成固定液結冰,形成的冰晶會嚴重破壞組織結構;
7、固定時間:一般情況下,4-48小時最佳。
02
關于新鮮組織
1、取材方法:新鮮組織取材過后要迅速放入液氮中冷凍,隨后轉入液氮或者-80度保存;
2、組織已經冷凍保存但是后期想要做石蠟切片的,不要直接解凍放于固定液內,建議先梯度解凍,解凍完成后再放于固定液內固定;
3、需要注意的是,石蠟切片對于組織的形態保存相對于冰凍切片有明顯的優勢,在設計實驗時充分考慮。
03
關于組織運輸
1、固定樣本常溫運輸即可;
2、新鮮組織干冰運輸,提前和物流確定好運輸時長。
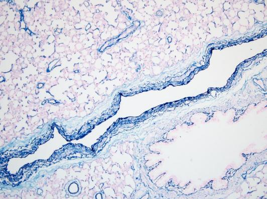
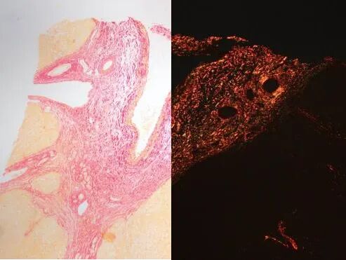
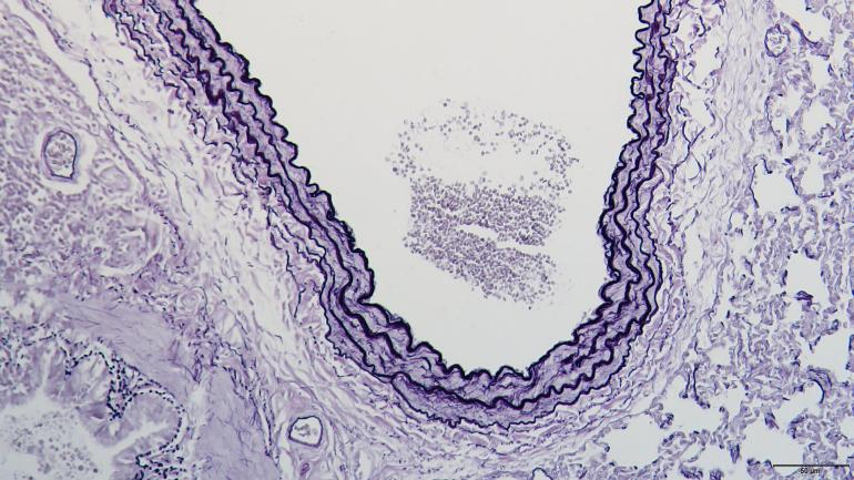
結果展示

大鼠腎臟-改良Masson三色染色-400x

肝癌組織-改良天狼星紅染色-200X

小鼠下頜骨-Goldner三色染色-200x

小鼠腎臟-改良Gomori氨銀法染色-200x

大鼠肺-Weigert堿性品紅染色-200x

小鼠肺-維多利亞藍染色-200x