更新時間:2023-07-10
點擊次數:1043

肌動蛋白是真核生物細胞骨架的主要成分,參與各種類型的細胞運動,在真核細胞中廣泛表達。ACTA2(alpha actin 2)又稱α-平滑肌肌動蛋白(α Smooth Muscle Actin,α-SMA)屬于肌動蛋白家族,是一種高度保守的蛋白質,在細胞運動、結構和完整性方面發揮作用。小編本期推薦的明星抗體K109667P,可是偵察ACTA2蛋白的得力干將,讓我們一起來認識下吧!
明星抗體三維數據卡
名稱 | Anti-ACTA2 Polyclonal Antibody |
編號 | K109667P |
交叉 反應 | Human Mouse Rat |
應用 | WB IHC IF |
推薦稀釋 比例 | WB 1:1000-3000 IHC 1:100-300 IF 1:50-200 |
抗體靶標
ACTA2是α-SMA的編碼基因,位于10q22-q24,由8個編碼外顯子組成,是6種不同肌動蛋白亞型之一,是動脈平滑肌細胞的主要收縮成分。Actins是球狀多功能蛋白質的一個家族,形成微絲。ACTA2(和所有actins一樣)極其保守,幾乎在所有哺乳動物中都有發現。α,β和γ肌動蛋白已被鑒定,其中α肌動蛋白是收縮器的主要成分,β和γ肌動蛋白參與細胞運動的調節。ACTA2是一種在骨骼肌中發現的α肌動蛋白。
蛋白分子量
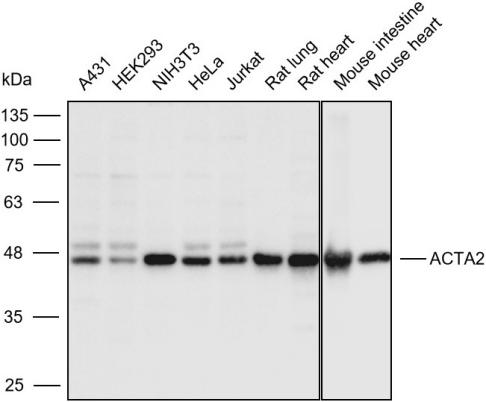
ACTA2蛋白質的標準序列377個氨基酸,理論分子量約42kDa,實際蛋白分子量參考Western blot驗證結果。

圖 1 K109667P-Western blot驗證
亞細胞定位
ACTA2位于細胞質,是構成細胞骨架的成分,參與平滑肌的收縮。

圖 2 ACTA2的亞細胞定位示意圖
(From UniProt)

圖 3 K109667P-Immunofluorescence驗證
組織分布
ACTA2主要存在于血管和內臟平滑肌細胞中,如平滑肌血管壁、腸壁、子宮肌層、乳腺和唾液腺的肌上皮細胞中。

圖 4 K109667P-Immunohistochemistry驗證
生物學功能
ACTA2是一種參與血管收縮和血壓穩態的平滑肌肌動蛋白,目前被認為是肌成纖維細胞形成的標志物。ACTA2基因突變可引起胸主動脈疾病、冠狀動脈疾病、腦卒中、煙霧病等多種血管疾病以及多系統平滑肌功能障礙綜合征。ACTA2基因缺陷是家族性胸主動脈瘤6型(AAT6)的病因。雜合的ACTA2突變可能導致血管平滑肌細胞受損,由于中層變性、血管壁重塑、壁僵硬度增加和主動脈擴張而表現出病理性增生和混亂。ACTA2的表達受激素、細胞增殖的調節,并受到病理條件如致癌轉化和動脈粥樣硬化等的影響。
第十四期產品星推薦就到這里啦!想要了解更多產品信息,請關注微信公眾號:Solarbio索萊寶和索萊寶!
相關產品
產品貨號 | 產品名稱 |
K200017M | Anti-ACTA2 Monoclonal Antibody |
K101557P | Anti-ACTA2 Polyclonal Antibody |
K106680P | Anti-ACTA2 Polyclonal Antibody |
P02732 | Recombinant Human ACTA2 Protein |
SE134 | 羊抗兔IgG-HRP |
K1034G-AF647 | SAlexa Fluor 647 標記的羊抗兔IgG |
C0060 | DAPI溶液(1mg/ml) |
DA1016 | 增強型DAB顯色 試劑盒(20×) |
PE0010 | ECL Plus 超敏發光液 |
P1200 | SDS-PAGE 凝膠制備試劑盒 |