更新時間:2023-05-05
點擊次數:1083

血小板(PLT)是從骨髓成熟的巨核細胞胞漿脫落下來的具有生物活性的小塊胞質。血小板為血細胞中胞體最小者,不具細胞核,直徑2-4μm,是紅細胞的1/2~1/5。胞體呈多形型,如圓形、橢圓形、星型或逗點狀等,胞質染色呈淺藍色或淡紅色。血小板在正常血液中數量較恒定,參與止血、傷口愈合、炎癥反應、血栓形成及移植器官排斥等多種生理和病理過程,其數量和功能異常會引發血小板病,因此,安全高效的血小板分離在科研和臨床中被迫切需求。

圖1.骨髓涂片中的血小板
注:胞質淡紅色,體積小聚集成片的為血小板
市售-產品介紹
常規血小板分離液,在實驗過程多存在以下問題并在一定程度上影響了實驗結果:
1. 離心時紅細胞沉降不全,分層不清晰,血小板層離心后有紅細胞污染;
2. 使用裂解液祛除紅細胞污染后,獲得的血小板容易活化;
3. 獲取的血小板數量少。

圖2.血小板分離效果圖
(小鼠血小板分離實驗為例)
注:富血小板血漿層和分離液層中間
可見大量紅細胞堆積

圖3.血小板吉姆薩染色結果100×
(小鼠血小板分離實驗為例)
注:圖片中紫色體積小的細胞為血小板;
粉色的為紅細胞
為了進一步優化血小板分離效果,采用細胞分離專用的紅細胞沉降液(貨號R1000),以“先沉降紅細胞,后進行分離"的實驗方式分離血小板,以很大程度降低紅細胞的污染,減少血小板的活化,并且提高了血小板純度及獲得量。
新品-血小板分離液試劑盒優勢
1. 同常規分離方案比,優化方案采取沉降紅細胞而非裂解紅細胞的方式祛除了紅細胞污染,避免了裂解紅細胞可能造成的血小板活化;
2. 優化后血小板的得率較常規有明顯提高。
新品-血小板分離液試劑盒組成
名稱 | 規格 | 保存 |
血小板分離液 | 200ml | 2-8℃保存 |
全血及組織稀釋液 | 200ml | 2-8℃保存 |
紅細胞沉降液 | 100ml | 2-8℃保存 |
細胞洗滌液 | 200ml | 2-8℃保存 |
新品-血小板分離液試劑盒結果展示

圖4.新血小板分離試劑盒結果圖
(小鼠血小板分離實驗為例)

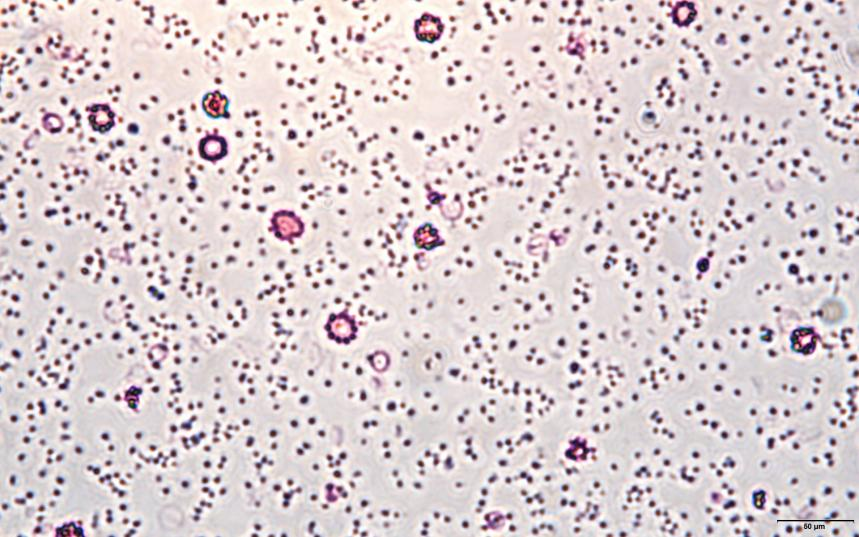
圖5.血小板吉姆薩染色結果100×
(小鼠血小板分離實驗為例)
注:圖片中無紅細胞污染,
血小板純度>90%
系列產品
