更新時間:2023-04-14
點擊次數:1185

結直腸癌(CRC)又稱大腸癌,包括結腸癌和直腸癌,是胃腸道中常見的惡性腫瘤,也是癌癥相關死亡的重要原因。癌變部位包括盲腸、升結腸、橫結腸、降結腸、乙狀結腸、直腸等。結腸癌多見于中老年人,男性多于女性。結直腸癌早期無癥狀或癥狀不明顯,隨著癌腫的增大而表現排便習慣改變、便血、腹瀉、局部腹痛以及腸梗阻等癥狀。
結直腸癌的早期篩查及預防可以降低發病率,相關分子標志物的檢測是對結直腸癌篩查的有效補充。各種生長因子例如胰島素樣生長因子,刺激腫瘤生長并作為結腸粘膜的促有絲分裂劑發揮作用。胰島素樣生長因子結合蛋白2(IGFBP2)具有調節細胞增殖、分化和凋亡,參與血管重構以及增強腫瘤侵襲性的作用。IGFBP2已被建議作為監測結直腸癌患者的診斷參數,另外結直腸癌發生過程中其過量可抑制細胞增殖來減少腫瘤生長。丙酮酸激酶M2(PKM2)是參與能量代謝的丙酮酸激酶(PK)的一種亞型,存在于正常細胞和癌細胞中。尾型同源盒轉錄因子2(CDX2)是一種同源盒蛋白,在胚胎形成和腸的分化中起關鍵作用。CDX2是CRC中的一種腫瘤抑制基因,在CRC病例中表達缺失。A33抗原(GPA33)是免疫球蛋白超家族的I型跨膜糖蛋白,在95%的結腸腫瘤中表達。鈣黏蛋白17(CDH17)以同種親和性的方式優先結合同種抗原來連接細胞,是診斷原發性和轉移性結直腸癌的一種有效的免疫組織化學標記物。細胞角蛋白是位于細胞質細胞骨架中的中間成絲蛋白。大多數結直腸癌呈細胞角蛋白7(CK7)陰性、細胞角蛋白20(CK20)陽性,因此它們是較好的CRC生物標志物組合。細胞角蛋白15(CK15)參與維持細胞質的穩定性,在結直腸癌組織中高度表達。

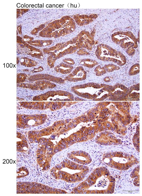
圖1 CDH17結直腸癌免疫組化結果圖
已有一些蛋白被鑒定可用作結直腸癌標志物(見表1)
表1 結直腸癌標志物

相關產品
產品貨號 | 產品名稱 |
K107226P | Anti-CDH17 Polyclonal Antibody |
K111652P | Anti-GPA33 Polyclonal Antibody |
K001641P | Anti-TP53 Polyclonal Antibody |
K111643P | Anti-MKI67 Polyclonal Antibody |
K001683P | Anti-IGFBP2 Polyclonal Antibody |
K106498P | Anti-KRT7 Polyclonal Antibody |
K002885P | Anti-CDX2 Polyclonal Antibody |
K106689P | Anti-PKM Polyclonal Antibody |