更新時間:2023-01-06
點擊次數:1020

背景介紹
中性粒細胞是豐富的粒細胞類型,占人類所有白細胞的40%至70%。作為宿主抵抗入侵病原體的第一道防線,中性粒細胞具備固有的吞噬能力,可以吸收納米顆粒和吞噬死亡的紅細胞,并在激活后清除外來病原體和加載靶點;而且,還能跨血管遷移到臨近組織的能力。中性粒細胞是在瑞氏(Wright)染色血涂片中,胞質呈無色或極淺的淡紅色,有許多彌散分布的細小的(0.2~0.4微米)淺紅或淺紫色的*顆粒。細胞核呈桿狀或2~5分葉狀,葉與葉間有細絲相連。中性粒細胞具趨化作用、吞噬作用和殺菌作用。中性粒細胞來源于骨髓,具有分葉形或桿狀的核,胞漿內含有大量既不嗜堿也不嗜酸的中性細顆粒。這些顆粒多是溶酶體,內含髓過氧化酶、溶菌酶、堿性磷酸酶和酸性水解酶等豐富的酶類,與細胞的吞噬和消化功能有關。

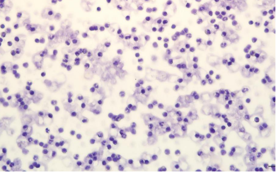
圖1.中性粒細胞瑞氏
(Wright)染色圖片
注:紫色為中性粒細胞;粉色為紅細胞
產品介紹
作為天然免疫細胞的重要組成部分,中性粒細胞在多種疾病的發生發展中發揮著重要作用。為了進一步探討其作用機制,常需分離人及動物外周血中性粒細胞進行研究。
市售產品-中性粒細胞分離試劑盒的產品缺點
目前,市面上大多數中性粒細胞分離試劑盒主要是根據全血中各細胞密度不同的特點,通過密度梯度離心法獲取目的細胞。在實驗過程中多存在以下問題并在一定程度上影響了實驗結果:
1. 離心時紅細胞沉降不全面,多聚集于中性粒細胞白膜層,導致白膜層不清晰;
2. 增加離心時間或離心力后,可以部分改善紅細胞沉降結果,但仍能明顯看到紅細胞存在于白膜層或分離液中,且白膜層出現彌散;
3. 收集到的中性粒細胞層混有大量紅細胞,可使用紅細胞裂解液祛除紅細胞干擾,但花費時間較長且有可能影響中性粒細胞表面抗原的表達;
4. 獲取的細胞數量少且中性粒細胞純度低。
市售產品-中性粒細胞分離試劑盒的分離結果展示

圖2. 中性粒細胞分離試劑盒離心實際效果圖
(人中性粒細胞分離實驗為例)
注:中性粒細胞層有很多肉眼可見紅細胞污染

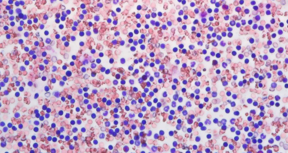
圖3. 中性粒細胞分離吉姆薩染色結果
(人中性粒細胞分離實驗為例)
注:中性粒細胞層經染色后涂片觀察,
圖片中紫色為中性粒細胞;
圖片中粉色為紅細胞
為了進一步優化中性粒細胞分離效果,索萊寶研發了細胞分離專用的紅細胞沉降液(貨號R1000),采用新的“先沉降紅細胞,后進行細胞分離"的實驗方式,以較大程度降低紅細胞的污染,并且提高了中性粒細胞的純度及獲得量。
新品-中性粒細胞分離試劑盒的試劑組成
名稱 | 規格 | 保存 |
試劑A | 200ml | 常溫保存 |
試劑C | 100ml | 常溫保存 |
紅細胞沉降液 | 100ml | 常溫保存 |
細胞洗滌液 | 200ml | 常溫保存 |
新品-中性粒細胞分離試劑盒的產品優勢
1. 同常規分離方案比,優化后的方案雖然增加了沉降紅細胞的時間,但大大減少了離心時間且無需進行紅細胞裂解,故二者總用時差異不大;
2. 使用優化方案離心后,離心管內中性粒細胞白環層較常規更加清晰且無紅細胞聚集;
3. 優化后中性粒細胞的純度較常規有明顯提高。
新品-中性粒細胞分離試劑盒的分離結果展示
以人中性粒細胞分離試劑盒(P9402)為例說明

圖4. 紅細胞沉降液沉降及分離效果圖

圖5. 中性粒細胞分離試劑盒實際效果圖
注:中性粒細胞層幾乎沒有肉眼可見紅細胞污染

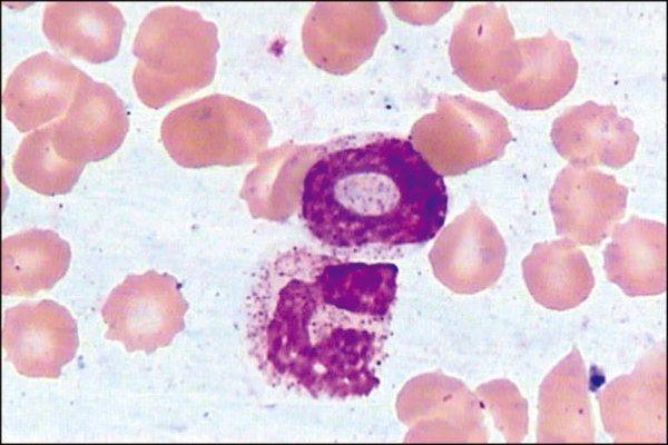
圖6. 中性粒細胞分離試劑盒染色結果
注:中性粒細胞層有極少紅細胞污染,
中性粒細胞純度可以到90%至95%。
相關的系列產品
