更新時間:2021-10-22
點擊次數:990
一年好景君須記,一件好物必先留。小編又又又帶著新產品馬不停蹄地趕來了!本期星推薦的抗體編號為K109309P。該抗體適用于人、小鼠、大鼠等種屬,可用于WB、IF、IHC實驗,效果好,陽性樣本覆蓋率高,適用性廣泛。下面讓我們一起認識它吧!
明星抗體三維數據卡
名稱 | Anti-CSDE1 Polyclonal Antibody |
編號 | K109309P |
交叉反應 | Human Mouse Rat |
應用 | WB IHC IF |
推薦 稀釋比例 | WB 1:2000-5000 IHC 1:25-100 IF 1:25-100 |
抗體靶標
Cold shock domain containing protein E1(CSDE1),中文名為RNA冷休克域結合蛋白E1。編碼CSDE1的基因位于人類1號染色體,CSDE1是多蛋白自動調節核糖核蛋白復合物(ARC)的一個組成部分,在啟動鼻病毒RNA翻譯所需的RNA結合蛋白過程中發揮作用,并被認為參與翻譯偶聯mRNA轉換。CSDE1表達有兩種亞型,分別為長型和短型,人和大鼠中的CSDE1具有98%以上的氨基酸同源性,不同物種之間具有序列保守性。
蛋白分子量
CSDE1是一種由798個氨基酸組成的蛋白質,理論分子量89kDa,實際蛋白分子量約90kDa(參考Western blot驗證結果)。

圖1 K109309P-Western blot驗證
亞細胞定位
CSDE1蛋白主要表達在細胞質。

圖2 CSDE1的亞細胞定位示意圖(From UniProt)

圖3 K109309P-Immunofluorescence驗證
組織分布
CSDE1的組織分布是低特異性的,在心、腦、甲狀腺、肺、肝、胃、脾、腎等229種組織中均有分布。CSDE1在多種腫瘤細胞中的表達會高于正常細胞,例如:黑色素瘤、直腸癌、乳腺癌、胰腺癌等。過表達的CSDE1與癌癥患者的不良預后相關。然而,CSDE1在其他一些類型的腫瘤(嗜鉻細胞瘤PCC、副神經節瘤PGL、口腔鱗狀細胞癌等)中表達量低于正常水平。

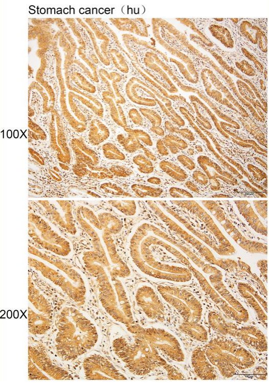
圖4 K109309P-Immunohistochemistry驗證
生物學功能
第八期產品星推薦就到這里啦!想要了解更多產品信息,請關注微信公眾號:Solarbio索萊寶和索萊寶*網站!
相關產品
產品名稱 | 產品貨號 |
Anti-CSDE1 Polyclonal Antibody | K109309P |
Anti-VIM Monoclonal Antibody | K200054M |
Anti-APAF1 Polyclonal Antibody | K007367P |
羊抗兔IgG-HRP | SE134 |
羊抗兔IgG-RBITC | SR134 |
DAPI溶液(1mg/ml) | C0060 |
增強型DAB顯色試劑盒(20×) | DA1015 |
ECL Plus超敏發光液 | PE0010 |
SDS-PAGE凝膠制備試劑盒 | P1200 |